骨科成功开展关节镜下膝关节半月板囊肿切除术
作者:黄孝明 文章来源:事业发展部 点击量:2944 更新时间:2020/3/23 15:58:37
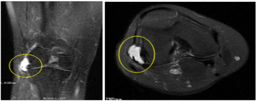
2020年3月3日,州人民医院康复科收治一位35岁女性患者,诊断为“右膝外侧半月板囊肿”。该患者在10年前因“左膝囊肿”在其他医院做过传统开放性手术。患者入院后,经骨科吴俊一主任医师会诊后,转入骨科手术治疗。
患者转入骨科后,经积极完善术前准备和骨科全科医师讨论,于2020年3月12日,由骨科关节镜手术治疗的专家蒲俊贵副主任医师主刀行“右侧膝关节关节镜下关节腔清理+半月板囊肿内引流+外侧副韧带修复术”。术后患者右膝疼痛明显缓解,早期即可下床活动。
半月板囊肿膝关节镜下手术,具有微创、手术时间短、出血少、临床效果满意、早期可下床活动等优点。膝关节镜检查及手术已成为膝关节疾患的重要检查及治疗手段。州人民医院骨科成功开展膝关节镜下手术已有6年,约80余例,涉及半月板切除、关节游离体摘除、关节滑膜切除、骨性关节炎等。
川西北高原地区为骨关节炎、大骨节病高发区,很多患者因错失规范诊断及手术时机,导致关节病变严重,影响日常生活及工作。阿坝州人民医院长期秉承以“患者为中心”“一切为了病人”的核心价值观,不断开拓进取,发展医疗技术水平,积极夯实健康阿坝建设,在抗击新冠肺炎疫情取得阶段性胜利之际,医院有序复工复产,强抓医疗质量,为阿坝州及其周边地区广大群众的健康提供强有力保障。


