2020年3月11日还是新冠肺炎疫情吃劲阶段,消化内科收治了一例急诊转入我院的66岁男性患者严**,外院腹部彩超提示胆囊体积增大、胰腺体积增大。查血淀粉酶:AMY 2271.00 U/L 。主管医师杨秀薇制定了禁食禁饮、加强监护、补液、抑酸、抑制胰液分泌、抗感染治疗措施。
入院后查HS-CRP >5.0 mg/L、CRP. 65.40 mg/L。ALT 112.30 U/L、ALB 29.80 g/L、GLU 6.29 mmol/L、GGT 508.30 U/L、ALP 306.20 U/L、TBIL 108.90 umol/L、DBIL 68.00 umol/L,腹部CT(平扫,增强扫描):1、右肝内胆管、肝总管、胆总管多发结石并胆管炎,肝内外胆管、肝总管、胆总管扩张。2、胰腺炎。肝胆脾胰(平扫,MRCP):1、急性水肿性胰腺炎。2、右肝内胆管、肝总管及胆总管多发结石并梗阻,其上游胆道系统扩张。诊断为:1、急性胰腺炎(胆源性,轻度)2、右肝内胆管、肝总管、胆总管多发结石并胆管炎。患者病情逐步平稳,症状改善。胆总管结石不除随时可能加重患者病情并延缓患者恢复时间。
消化内科康乐斯基主任医师建议行ERCP\EST治疗。杨林主任医师查看明确患者有ERCP取石术治疗指征。详细告知患者及家属手术的必要性和风险已经替代方案应急预案,签署手术知情同意书。
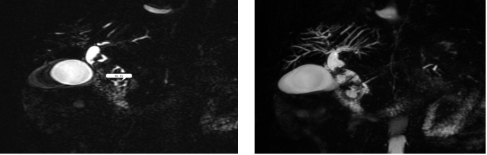
核磁共振下的胆总管结石影:
2020年3月16日由杨林主任医师马晓红主任护师、晓荣护师在医院介入手术间与麻醉副主任医师、官小沁麻醉医师配合下行ERCP+乳头肌切开EST+十二指肠乳头肌球囊扩张术EPBD+球囊胆道取石术+鼻胆管引流术。术中见十二指肠乳头大憩室,术中有多量胆泥及细小结石排出,胆总管造影胆总管粗2.0cm,见1.0*2.0cm结石影,网篮无法取石。术后给予鼻胆管引流通畅,术后患者无腹痛等不适,术后复查淀粉酶正常,复查肝功能胆红素明显下降。
结合患者病情,杨林主任医师联系一体化碎石网篮及碎石手柄,于2020.03.20在省人民医院阳运超护师配合下再次行ERCP+乳头肌切开EST+十二指肠乳头肌球囊扩张术EPBD+碎石网篮碎石取石术。手术顺利,碎石后套取大量大小不一结石和胆泥。
镜下结石块 大量胆泥及结石团
X光下网篮取石:
术后复查血淀粉酶正常;肝功、肾功、电解质测定(血清):ALB 31.20 g/L、Na 134.00 mmol/L、P 0.82 mmol/L、GGT 486.00 U/L、ALP 193.50 U/L、CHE 3744.60 U/L、TBIL 29.00 umol/L、DBIL 21.00 umol/L、GLB 30.70 g/L。复查血常规、c反应蛋白无异常。患者逐渐恢复正常饮食,腹部彩超:胆囊壁增厚,胆泥沉积。肝内胆管稍扩张;胆总管上段扩张,增壁厚,内径缩小到1.3cm,内可见气体样强回声,下段显示不清。27日患者痊愈出院。
阿坝州人民医院已经成功开展ERCP近十年,有较丰富的诊断治疗经验。今年3月杨林医师团队就已成功开展治疗性ERCP手术5台,5例均内镜下插管造影、乳头肌切开取石和鼻胆管引流等。患者术后均无感染、穿孔、胰腺炎等并发症,均治愈出院。阿坝州人民医院ERCP内镜下治疗技术逐步成熟,标志着阿坝州胆胰疾病患者能够就近接受最先进的微创治疗,不仅疗效确切,并且能够显著降低患者创伤和就医支出负担。
阿坝州人民医院消化内科内镜中心团队能开展ERCP经内镜逆行性胰胆管造影术\EUS超声内镜\ESD内镜下黏膜剥离术等高技术内镜项目,常规开展息肉切除,支架置入,胶囊内镜等工作。我们将不断努力以更精湛的技术,更好的服务,更优惠的费用为广大患者服务。


