抢时间就是抢救脑组织,急性脑梗如果延误救治时间几小时就会耽误患者一辈子。阿坝州人民医院神经内科、急诊科、ICU联手争分夺秒又一次成功对一例急性脑梗塞患者溶栓,患者偏瘫快速良好恢复。
2021年2月23日,春节假期即将结束,前来医院就诊的病患越来越多,科室的床位已趋于饱和,忙碌而紧张的工作节奏并未因为节日而稍有减缓。清晨7时32分,内一科值班医生李蓝接到急诊科急会诊电话,5分钟后赶到急诊科会诊室。室内,医师、护士正各司其职,各项检查正在快速、有序进行。急诊科医生文立介绍道:患者泽XXX,53岁,24日6时许晨起时,突发右侧肢体反复无力,伴言语不清,症状持续约数分钟后自行缓解,但每间隔10余分钟,其病症反复发作。7时30分许,患者被其家属送入我院紧急救治。再次详细询问病史及全身仔细查体发现,患者发病时肌力Ⅰ级左右,好转时肌力Ⅴ级,发病时伴右侧鼻唇沟变浅及伸舌左偏,在病房期间断发作右侧肢体无力及吐词不清,立即急查头颅CT未发现出血。急查血常规、凝血功能、心肌酶等检查。神经内科医生及急诊科医生共同迅速作出了急性脑梗塞的诊断,时间在快速流逝,医生们心里都很清楚,必须抢在4.5小时内紧急溶栓治疗。
在急查患者无溶栓禁忌症的基础上,迅速向患者及家属告知了溶栓治疗注意事项,并在征得患者及家属同意,请示上一级医师后,将病人转至重症科,神经内科医师李蓝及重症科医师德吉拉姆联合会诊,共同制定了溶栓用药方案及溶栓后进一步监护的治疗方案。及时对患者实行了溶栓治疗。
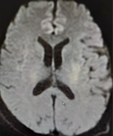
在溶栓治疗1个小时后,患者口齿逐渐清楚,右侧肢体肌力逐渐恢复;3个小时后,及时行MRI-头部扫描。扫描结果显示:左侧脑室体部旁、左侧基底节区急性缺血缺氧脑损伤,左侧大脑中动脉M3段起始处局部变窄。扫描结果坚定了医护人员的信心。在溶栓治疗24小时后,再次复查颅脑CT,并将结果与溶栓3+小时颅脑MRI片进行了比较,显示:颅脑左侧基底节豆状核提示脑梗塞。针对对比结果,继续跟进后期治疗方案。经过系列治疗,患者右侧肢体肌力已基本恢复,约Ⅴ-级,无言语障碍,无头晕、头痛等不适,转入内一科普通病房观察治疗。
患者症状的恢复良好,上级医院医师肯定了我们的溶栓治疗方案和治疗效果,认为前期正确、果断的治疗是患者快速最大限度的康复的决定性因素。
我州因为高海拔和群众对疾病认知程度低等因素,导致脑卒中发病率高,致死致残率高。通过成功治疗这例病人,希望能引起社会以及公众的重视,让大家获得更多脑卒中方面的知识。最终让更多的急性脑梗塞病人及时得到有效的治疗,获得最大程度的康复。
目前对急性缺血性脑卒中溶栓是很有效的治疗方法,但需要在发病后4.5小时内用药,所以急性缺血性脑卒中患者及时就医是溶栓是否成功的关键。
快速识别缺血性脑卒中(脑梗塞)的方法和肌力分级:




