2021年01月15日,突如其来的意外打破了患者桑某一家的平静生活,39岁的患者桑某不慎从3米高的楼上摔下,当即昏迷,家属立即送患者至阿坝州人民医院神经外科住院治疗,由值班医生详细询问病史和全面查体后诊断为“重型闭合性颅脑损伤:1.左侧枕部小脑骑跨性硬膜外血肿;2.双侧额叶脑挫裂伤。由于患者颅内出血量较大,随时可能病情加重甚至危机生命,介于患者颅内多出损伤,且相当严重,值班医生立即上报了文家智副主任医师,文医生得知患者病情后第一时间赶到科室,进一步掌握患者病情后,建议患者需要立即行手术治疗,家属焦急万分,一时拿不定主意,主管医生耐心与患者家属沟通解释病情,并分析手术利弊,逐步取得了家属信任,决定接受医生建议同意手术。
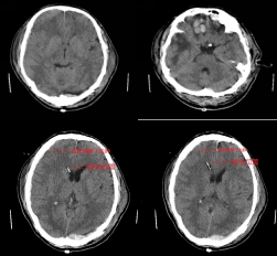
由于血肿位置特殊,手术区域临近重要血管,如若损伤可能危机生命,较普通手术有一定难度。由于术前手术医师的充分准备和术中对重要血管的保护,经过五个小时的手术治疗,手术顺利成功完成,患者术后转入了医院重症监护室进一步监护治疗。术后复查颅脑CT发现,患者原本双侧额叶的脑挫伤出血增多,为保证患者生命安全和避免多次手术及巨额治疗费用,经科室讨论,放弃以往的“骨瓣减压术”手术方式而选择了现国内外推荐可行的“颅内压监测/脑室外引流术”,该手术技术在神经外科已成熟并已经成功救治多例患者。主管医生再次向家属详细 病情及下一步治疗方案并同时了解到患者家庭经济困难,于是安抚患者家属的同时宣传阿坝州医保政策,包括大病医疗补助,水滴筹多种方式来解决经济困难以救治患者,患者家属焦虑的心情得以平复,经过商议和医生们的充分准备,患者顺利进行了第二次手术治疗。
患者在第二次手术治疗后复查恢复情况良好,患者手术中置入了颅内颅内压探头,该探头对患者颅内压进行了实时监测,保障了患者顺利度过危险期,病情逐渐平稳。住院期间政府相关部门及医院领导多次到病房关心慰问患者,经过医院医护人员对患者的精心救治及家属的辛勤照顾下,患者恢复良好,顺利出院。
恢复期的桑某某来院复查,为感谢医护人员精心救治和各级部门的关心关爱,特意送来了感恩的锦旗。
患者桑某的康复让所有参与治疗的医务人员和关心他的社会各界人士倍感欣慰。州人民医院医护人员将继续努力,在阿坝高原尽绵薄之力以践行医者誓言“除人类之病痛,助健康之完美”,护卫患者生命,全力以赴助力健康阿坝建设。


