——省人民医院刘进平副主任医师“对口帮扶”我院神经外科工作记实
近年来,四川省卫健委对口支援“传帮带”工程选派省内知名三甲医院专家持续支援州人民医院促进我院临床技术水平不断提高。专家们克服高原环境,以精湛的医疗技术,先进的诊疗理念,全心全意为人民服务的态度,真心实意支持少数民族地区医院发展的信念,各施所长,言传身教,助力我院各个学科建设与发展取得了显著的成效。
新年伊始,四川省人民医院神经外科刘进平副主任医师,来我院开始了为期3个月的连续驻点对口帮扶医疗工作。刘进平老师坚持每日晨交班、大查房,结合具体病例,深入浅出讲解神经外科各类疾病的诊治要点和最新理念,每周一次学术讲座,疑难病例讨论和教学查房,提升科室各级医师的临床和理论水平。
显微手术治疗包虫病,和谐医患关系暖人心。
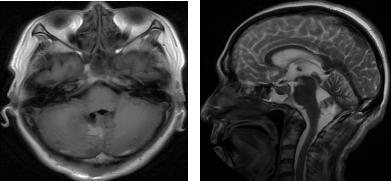
色**是一名48岁的中年女性。因“头痛,呕吐,阵发性意识丧失1月”就诊于我院神经外科。头颅MRI提示:颅内多发占位,其中位于右侧小脑及第四脑室内,脑干旁的病变体积最大,直径达3.8cm, 病变阻塞脑脊液循环通路,导致梗阻性脑积水。
术前MRI影像提示脑深部包虫病变伴梗阻性脑积水
患者病情危重,随时有生命危险。结合患者既往有肝包虫病手术史。初步诊断为:1、颅内多发占位病变(脑包虫?)/2、梗阻性脑积水。刘进平副主任医师和神经外科文家智主任一起主持全科进行术前讨论,制定周密手术计划,于2022年1月25日在全麻下行显微镜下开颅右侧小脑、第四脑室内占位病变切除术。手术顺利,经过5个多小时显微精细操作,脑深部包虫病变完整全切。
历经3个小时多艰苦奋战,脑深部包虫病变完整全切。
术后复查MRI 提示病变切除满意,脑积水缓解。
术后MRI影像
患者恢复顺利,临床症状完全改善。患者及家属对手术效果和我院医护的精心照顾,非常满意。
开展神经脊柱新技术,助力神经外科新发展。
多年以来,神经外科习惯被称为“脑外科”。这主要是由于长期忽视神经脊柱亚专业的发展。神经脊柱亚专业是神经外科的重要组成部分,神经外科的微创理念和显微技术在脊柱脊髓的创伤、退变、肿瘤、畸形等各类疾病的外科治疗中具有独特优势。刘进平老师带领我院神经外科团队开展新技术“显微镜下后路微创腰椎融合术”治疗“腰椎管狭窄症”,“腰椎滑脱症”取得了良好的临床疗效,受到患者和家属的好评。同时,通过系列学术讲座和操作指导,使得我院神经外科医师充分了解国内神经脊柱亚专业的发展现状和广阔前景。对神经外科进一步拓展业务范围,造福广大患者,促进学科发展具有重要意义。
术前讨论会 术前查房
术前影像学检查提示:腰4/5椎管狭窄,腰4椎体前滑脱I°。
术后X线、CT提示:腰椎内固定螺钉位置良好,腰椎滑脱复位满意。
砥砺前行的州医院神经外科。
神经外科是我院的重点专科,近年来,神经外科克服了人手少,工作量大等许多困难取得了长足的发展,在州内率先开展创伤性颅内出血、脑肿瘤以及高血压脑出血微创治疗,颅内动脉瘤夹闭术等,在全州神经外科领域处于领先水平。神经外科是阿坝州全科医师转岗培训基地和全省住院医师培训基地之一。而且还承担起部分泸州医学院、川北医学院的本科生实习及阿坝州卫校及周边县乡卫生专业技术人员的教学培训工作。
对口支援“传帮带”工程专家简介:
刘进平,四川省人民医院神经外科副主任医师,神经外科学博士。美国加州大学旧金山分校神经外科脊柱中心访问学者;中国研究型医院学会脊髓脊柱专业委员会委员;四川省神经外科医师协会脊髓脊柱学组副组长;四川省神经外科医师协会秘书;成都市医学会神经外科分会委员;四川省医学会包虫病专委会委员;四川省医学会创伤学会青年委员;四川省医学会机器人及人工智能学会青年委员。长期致力于神经脊柱外科各类疾病的临床诊治和相关研究,在国内外医学杂志发表论文20余篇,其中SCI论文14篇,主持四川省卫健委及科技厅课题2项。


