增强技术提升能力 关爱百姓服务健康
骨科开展开放性孟氏骨折
伴桡骨多段骨折切开复位内固定术新技术
——骨科省级临床重点专科建设微纪实二

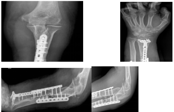
手术顺利,历时1小时30分,术后复查手术植入钢板固定良好,为后期前臂功能康复或功能重建奠定了良好基础。

2023年,骨科全体医务人员将以省级临床重点专科建设为契机,坚持以人民健康为中心,在四川省人民医院集中和对口帮扶、托管、医联体建设的大力支持下,开展新技术新项目,全力提升专科业务技术水平,优化医疗服务模式,提高医疗质量安全水平,建设专科人才队伍,满足人民群众对优质医疗资源的需求,解决看病就医难题,努力让广大人民群众在家门口就能享有优质的医疗服务。
【患者前期病情回顾】
2023年2月27日凌晨01时34分,州人民医院骨科病区,当值医生黄孝明主治医师正在急诊收治一例58岁复合伤藏族女性患者,患者系阿坝县洛尔达乡人,13小时前因车祸致左前臂肿痛、畸形、流血、功能障碍,伴头痛、胸痛、左耳道流液。入科时患者烦躁不安,呈休克状,畸形的左前臂连同衣袖夹板敷料包扎、外置支具固定,敷料全层被血液浸透,检查见左前臂中份背侧一约5cm横向伤口,前内侧一约12cm纵向伤口,活动性出血,肢端冰凉,桡动脉无法扪及,左手感觉、手腕运动明显减退。急诊CT显示:多发脑挫裂伤(右顶叶、额叶及颞叶)、创伤性蛛网膜下腔出血、左侧乳突骨折;左侧多支肋骨骨折(第7—10);腹腔未见明显异常;左尺桡骨多段骨折、左桡骨头脱位。
州人民医院骨科有着丰富的急危重症患者救治经验,面对该复合伤重症患者,黄孝明主治医师第一时间请示科主任吴俊一,启动抢救程序,快速补液扩容、输血等抗休克治疗;同时请神经外科等多学科会诊评估,颅脑等部位暂无手术指征。患者左前臂渗血不止,生命体征相对平稳后,黄孝明主治医师当即安排紧急手术,按照损伤控制手术原理,一期手术行左尺骨开放性骨折复位克氏针内固定术+血管、神经、肌腱探查修复、清创缝合术。
复合伤患者术后管理难度和重要性不亚于手术,医护团队通力协作,按加快康复管理措施,积极观察患者病情,抗感染、消肿止痛、营养支持、心理支持等治疗,同时继续多学科协助治疗,患者得以快速恢复,为二期手术创造了良好的条件。


