阿坝州人民医院口腔科完成 首例半口缺失牙患者即刻种植、即刻负重修复术
作者:张志强 文章来源:本站原创 点击量:1839 更新时间:2023/7/12 16:34:23
近日,阿坝州人民医院口腔科在原对口支援专家协助下,完成科室(州内)首例即刻种植、即刻负重修复缺失牙病例。
患者为一位中年阿姨,因下颌牙齿缺失,咀嚼、说话等诸多不便严重影响日常生活,就诊口腔科后,口腔科主任江蓉通过咨询、请教原对口支援专家蔡炜老师,最终决定由蔡老师带科室团队及技师一起来院开展即刻种植及即刻负重修复,通过手把手示教、实操、讲解,真切的把该技术传授给科室团队,也望该技术惠及更多有需要的老百姓。

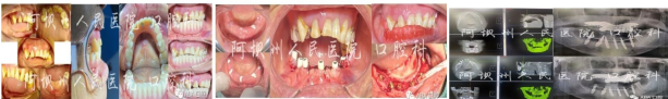
完美蜕变,术前术后对比。


2023年7月10日上午10时开始,蔡炜老师带领大家为患者精细设计、精细手术、精诚讲解,手术历时2小时余,拍片见植入位置均非常理想。

中午12:30开始,来自爱美工作室的邬丽老师为患者取模、制作即刻修复义齿,经过约3小时的设计及制作,完美戴入患者口内。



