2019年06月25日05时,一位男性41岁患者因入院前8+小时骑马时不慎从马背上摔下致意识障碍,伴烦躁,伴双侧外耳道、鼻腔,口腔流血不止,家属立即送至当地医院治疗,当地医院完善头颅CT检查提示:“脑挫裂伤,颅骨骨折”,由当地120转入州人民医院,来院途中患者呕吐3次,呕吐物为血性液,呈喷射性,烦躁,伴小便失禁,在州人民医院完善头颅CT检查后以“高坠伤、头部外伤、脑挫裂伤、颅内出血”收入医院神经外科治疗。
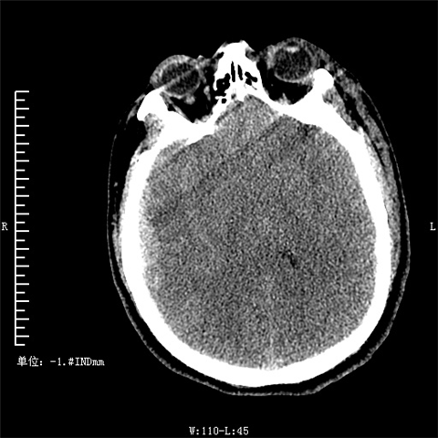
术前CT检查

术前CT:脑组织弥漫肿胀/脑室明显狭窄/环池显示不清楚。
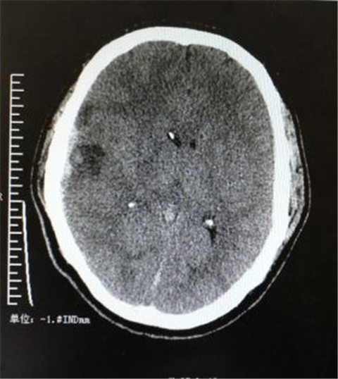
术后CT检查

神经外科主任黎明提出:将经验治疗转变为精准治疗。将1mm大小颅内压探头植入脑室内;即可以引流脑积液/同时监测颅内压力,根据颅内压力决定治疗策略。
患者自发病以来,一直呈昏迷状,病情危急危重。6月25日再次给以患者行急诊颅脑CT扫发现颅内异常(颅内出血、脑挫裂伤、脑水肿、脑肿胀或缺血、基底池不清晰等)的急性重型颅脑创伤患者(GCS 5分)。患者伴有颅骨骨折,脑积液耳瘘及鼻瘘,到底是脑肿胀还是缺血,在临床医生评估不能确定。脑肿胀建议去骨瓣减压术,首先去右侧额颞部,去了骨瓣后有没有人为造成脑疝死亡加重,还是双侧骨瓣都去,指南告知双侧额颞顶部骨瓣去除,不死即重残,后期并发症较多,黎明主任立即组织全科讨论后建议此类重症病例实施国内外提倡的颅内压监测,根据监测结果是否手术,并立即上报医务科,按照国家规定立即落实一次性耗材申请机制,采购颅内压监测器械。
在术前,神经外科与重症医学科全体医师再次讨论治疗方案,向患者委托人交代清楚手术治疗的必要性及危险性后,患者委托人同意并要求实施此项手术治疗。
当天晚上在向庆勇、文家智医生主刀下立即为患者实施安置颅内压探头置入术,手术顺利,术中观察颅内压为11.3mm Hg,观察半小时后未见颅内压增高。术后送重症医学科继续监控颅内压,此项手术为州医院开展的州内第一列颅内压监测手术。

患者经过严密颅内压监测,早期处理低颅内压经过治疗后患者颅内压趋于平稳保持正常颅内压,脑灌注也得到了精准监测,患者经过1周治疗,现已经开始睁眼并能在病床上轻微活动。
重型颅脑损伤合并其他并发症的的治疗中,颅内压监测是不可或缺的手段,也是现重症颅脑损伤重要治疗手段之一。对此例患者的治疗,医师们在关键时刻果断抉择采取积极有效措施,实施治疗和抢救及时有效,挽救了患者生命。神经外科黎明主任感叹道:“生民何辜,不死于病而死于医,是有医不若无医也。学医不精,不若不学医也。”作为医者,富仁心、精医术,州人民医院在为患者提供优质医疗服务的道路上将不断学习、持续改进、砥砺前行!


