阿坝州人民医院骨科作为四川省和阿坝州临床重点专科,近期成功完成了州内首例高难度上胸椎骨折脱位切开复位内固定术,标志着阿坝州人民医院骨科技术水平迈上了新的台阶。
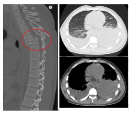
2024年07月17日凌晨1时,骨科值班医师黄孝明接到急诊科紧急会诊请求,患者是一位来自若尔盖县23岁刚大学毕业的待业青年,车祸伤致头胸部疼痛、流血、双下肢截瘫9小时,查体:血压82/68mmHg,胸5以下平面感觉减退,胸6平面以下感觉完全消失,双下肢肌力0级,急诊胸椎CT提示“胸5/6骨折伴脱位”,初步考虑合并胸部脊髓横断伤,需手术治疗。因手术涉及上胸段水平,置钉难度大、术中透视要求高,值班医师当即电话请示吴俊一主任医师并汇报此事,鉴于患者病情,让患方自主选择。患方知晓病情及手术利弊后,经慎重考虑决定在州人民医院诊治和手术。

患者入住骨科后,因损伤重,失血多,血压低,考虑有“失血性贫血、低容量性休克、急性肾功能不全”,当日凌晨予急诊输血治疗,复查血红蛋白仅86.00g/L。颈椎核磁共振(MRI)证实“胸部脊髓横断伤(胸5/6平面)”,患者还合并“左6-8肋骨折、创伤性胸腔积液”,潜在肺损伤、胸腔积液随时加重可能,且存在压疮、肺部感染、深静脉血栓、尿路感染等高风险,病情危重、复杂。患者年轻,尽管脊髓横断伤,预后极差,但主管医师黄孝明主治医师仍尽可能想为患者尽早安排手术,依据病情需要,第一时间请口腔科、耳鼻喉科、胸外科、麻醉科等多学科MDT联合会诊,积极完善术前检查及准备,及时准备胸椎手术耗材,骨科医护团队尽早启动加速康复外科治疗(ERAS),积极防治肺部感染、压疮、深静脉血栓、营养不良、尿路感染、胃肠功能紊乱、便秘等并发症,同时加强患者及家属心理疏导。

在麻醉科、胸外科、输血科、重症医学科等多科室的配合下,患者于2024年07月18日由骨科吴俊一主任医师主刀、宿瑞强主治医师、黄孝明主治医师等配合下,在全麻下进行了“经后路胸6椎体骨折、胸5/6椎脱位切开复位胸3-8钉棒系统(8钉2棒)内固定术+胸5-6椎管扩大减压+硬脊膜修补术+自体骨、人工骨椎板后、关节突植骨融合术”。术前胸外科先行“双侧胸腔闭式引流术”。术后转入重症医学科重症监护治疗。术中使用了关键设备——超声骨刀,为脊柱椎管扩大减压大大节省了时间,止血彻底;术中同时使用了另一神器,可谓“千里眼”的“C臂X光机”,为手术安全性提供了强有力的保障。

完全截瘫患者,术后压疮、肺部感染、脑脊液漏始终是一个难题。术后患者二期压疮,经骨科医护团队细心护理,最终愈合,并未出现加重情况。2024年07月25日(术后第7天)患者突发呼吸困难、心率快,氧饱和度下降,咳嗽无力,痰鸣音重,经呼吸内科协助,予无创呼吸机辅助呼吸治疗,把患者从“鬼门关”拉了回来。后续经骨科医护加速康复外科团队及家属悉心照顾、护理,患者康复顺利。术后患者切口裂开、脑脊液漏,经处理,切口甲级愈合。
经过31天的精心治疗与护理,患者顺利出院。此次胸椎手术置钉达到胸3水平,体现阿坝州人民医院脊柱手术突破新高度。压疮的积极防治亦体现了州人民医院骨科在加速康复外科治疗的努力。

在持续提升“十四五”国家临床专科能力建设,推动公立医院高质量发展的好政策下,阿坝州人民医院骨科将继续以临床重点专科建设为契机,使用关键设备,秉持“以患者为中心”的服务理念,不断加强专科人才队伍建设,努力提升医疗服务水平,为前来就诊的各族群众提供更加优质、高效的医疗服务。


