近日,阿坝州人民医院呼吸与危重症医学科成功完成了首例CT引导下经皮肺穿刺活检术,为肺部病变患者带来了新的希望,标志着阿坝州人民医院在肺部疾病诊断领域取得了新突破,更为广大患者提供了更为精准、安全的诊断手段,让诊断更早一步,为治疗赢得了宝贵时间。
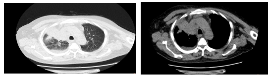
2025年2月7日,阿坝州人民医院呼吸与危重症医学科接诊了一位68岁的男性患者。这位患者因“咳嗽、咳痰、气紧1周”而入院,经过初步的胸部CT(平扫+增强)检查,结果显示其右肺上叶存在占位性病变,考虑肺癌的可能性较大。然而,由于病灶位置靠近外侧,远离主支气管,传统的气管镜检查无法获取病原学及病理诊断,这无疑给患者的治疗带来了极大的挑战。
面对这一复杂情况,呼吸与危重症医学科唐大东主任医师迅速组织团队进行病情评估。他反复审阅患者的CT影像,仔细分析病灶的位置、大小及与周围组织的关系,最终决定采用CT引导下经皮肺穿刺活检术这一先进技术来明确诊断。这一决定得到了患者及其家属的充分理解和支持。
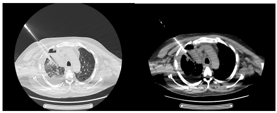
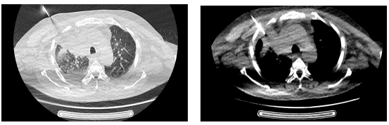
为确保手术的成功与安全,阿坝州人民医院运用多学科协作优势。外二科杜刚主任医师制定了详细的术中、术后并发症处理预案,为手术的成功提供了坚实的保障。放射科蒲鹏主任医师用经验和技术,为手术制定了精确的穿刺进针路线。在唐大东主任医师的精细操作下,整个穿刺过程仅用了约30分钟便顺利完成,且患者未出现明显的出血、气胸等并发症。
穿刺前,患者的CT影像清晰地显示了病灶的位置和形态,为手术提供了重要的参考依据。

在穿刺过程中,医生们通过实时监测CT影像,不断调整穿刺针的位置和角度,以确保穿刺的准确性和安全性。

CT引导下经皮肺穿刺活检术的成功开展,为患者提供了更为精准、安全的诊断手段,标志着阿坝州人民医院在肺部疾病诊断领域迈上新的台阶。这一技术的引入和应用,将有助于提高肺部疾病的诊断准确率,减少误诊和漏诊的发生,为患者制定更为合理、有效的治疗方案提供有力支持,为更多肺部疾病患者带来福音。


