在与病痛斗争的道路上,每一位患者都渴望找到治愈的希望。近日,阿坝州人民医院疼痛科成功运用CT引导下脊神经根脉冲射频调节和神经根阻滞术,为两位饱受带状疱疹性神经痛折磨的患者解除痛苦。目前,两位患者已康复出院,这一技术的成功应用,标志着州人民医院在慢性疼痛治疗领域又迈出了坚实的一步!
被疼痛“捆绑”的生活,患者苦不堪言。患者86岁万大爷,在一个月前不幸患上带状疱疹(右侧T12-L1神经节段)。本以为熬过急性期,疱疹消退就万事大吉,可没想到,疼痛却如影随形,成了他生活的“噩梦”。哪怕是轻微的衣物摩擦、不经意的微风拂过,甚至安静地躺着,都能引发剧烈的疼痛。这种疼痛像火烧、似刀割,又仿佛有无数根针在扎,让万大爷夜不能寐、食不下咽,情绪也濒临崩溃。经保守治疗,效果却始终不理想。患者巴大爷,因“腋下及上臂内侧疼痛两天”来疼痛就诊,一进门大爷便讲:“我很能忍痛的,但这次我实在受不了,整夜都不能睡”。疼痛科侯静主治医师问诊查体后确诊为带状疱疹性神经痛(左侧T2-T3神经节段)
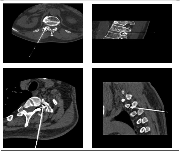
精准微创技术,直击疼痛根源。面对两位患者的病情,我院麻醉疼痛科、康复科、放射科迅速展开会诊,经详细评估后,决定采用CT引导下脊神经根脉冲射频调节联合神经根阻滞术为其治疗。放射科蒲鹏主任医师、泽旺初技师团队基于128排螺旋螺旋CT搭载的高分辨率动态三维成像技术,凭借毫米级精度构建穿刺通道三维模型,实现病灶靶区的立体导航定位规划最优穿刺路径,为临床制定个体化精准诊疗方案提供可视化决策支持,就像给医生装上了“透视眼”,确保治疗操作准确无误。在此基础上,通过脉冲射频调节,可有效调节神经功能,降低神经的敏感性;神经根阻滞术则能直接阻断疼痛信号的传导,双管齐下,从根源上解决疼痛问题。
整个手术过程在麻醉疼痛团队侯静主治医师、历叶林副主任医师、夏雷医师以及康复科李晓医师的配合下仅耗时1小时左右,创口微小,对患者身体的损伤极小。术后,两位患者疼痛症状便得到了明显缓解,脸上也终于露出了久违的笑容。
前沿技术优势,为患者带来新希望。 1. 精准定位:CT引导能清晰显示神经根的位置和形态,大大提高了治疗的准确性,避免损伤周围正常组织。2. 微创安全:与传统开放性手术相比,该技术创伤小、恢复快,并发症少,患者无需承受太大痛苦。3. 疗效显著:不仅能快速缓解疼痛,还能调节神经功能,有效改善患者的生活质量,降低疼痛复发的可能性。4. 适用广泛:除了带状疱疹后遗神经痛,还适用于多种由神经病变引起的慢性疼痛疾病,如腰椎间盘突出症、颈椎病引发的神经痛等 。
疼痛科持续发力,守护患者健康。此次手术的成功开展,是阿坝州人民医院疼痛科在微创介入治疗领域的又一次突破。一直以来,疼痛科始终紧跟医学前沿,不断引进和开展新技术、新项目,致力于为广大疼痛患者提供更专业、更高效、更优质的诊疗服务。
如果您或身边的人正被慢性疼痛所困扰,无论是带状疱疹后遗神经痛,还是其他类型的疼痛疾病,都可以来我院疼痛科就诊。我们将以精湛的医术、贴心的服务,帮助您摆脱疼痛,重拾健康美好生活!
咨询电话:0837- 2832150


