阿坝州作为四川省重要的高原旅游目的地,拥有九寨沟、黄龙、四姑娘山等世界级景区,平均海拔2000-4000米。高原特殊的地理环境和气候条件,使得游客可能面临高原病的威胁。本文将系统介绍高原病防治知识,帮助您安全、健康地畅游阿坝。
一、阿坝州高原环境特点
1.阿坝州位于青藏高原东南缘,地形复杂,海拔差异显著:
海拔梯度大:从汶川县的1420米到四姑娘山的6250米,海拔跨度近5000米
氧含量变化:海拔3000米时,大气氧分压仅为海平面的70%左右
气候多变:昼夜温差可达20℃以上,紫外线强度是平原的2-3倍
2.主要旅游区域海拔:
九寨沟景区:2000-3100米
黄龙景区:1700-5588米
四姑娘山:3200-6250米
若尔盖草原:3400-3600米
二、高原病主要类型及症状
1. 急性高原反应(AMS)
最常见的高原病,通常在到达高原后6-12小时出现:头痛(主要症状)、头晕、乏力、食欲减退、恶心、呕吐、失眠。
高反的症状和自我评判
2. 高原肺水肿(HAPE)
危险的高原病,多在到达高原后24-96小时发生:呼吸困难,休息时也不能缓解;如果出现发绀、气促和频繁干咳时应予警惕,出现呼吸困难,咳嗽,咳大量白色、橘黄色或粉红色泡沫样痰,应立即就医。
3. 高原脑水肿(HACE)
最严重的高原病,常在到达高原后48小时至5天内出现:轻微的表现为头痛、头晕及眩晕;最重的形式表现为共济失调、不同程度的意识障碍、幻觉、癫痫、视乳头水肿、视网膜出血、颅神经麻痹;有些可进展为脑疝,导致死亡。
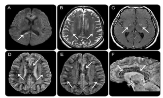
一名高海拔脑水肿患者脑MRI显示弥漫性血管性水肿和微出血。
三、高原病预防措施
高反,你该如何防治? 防治高反没有捷径,你只能慢慢培养高原适应能力,让身体慢慢适应高原缺氧环境,并在吃饭、喝水、呼吸、步行方式多加注意,阻止血氧饱和度的大幅下降。不要饮酒和服用安眠药;避免感冒,注意保暖。
1. 阶梯式适应
建议先在2000米左右(如汶川、茂县)停留1-2天;每天上升高度不超过300-500米;到达3000米以上后,每升高1000米多停留一天。
(野外医学协会建议进驻高原第一天不要超过海拔2400m,然后每天上升的海拔300m至600m。Bartsch等建议海拔2000m以后的平均上升速度300m/day。(来源:《急进高原后心率、血压和血氧饱和度的变化规律及与急性高原病的关系》郑双锦 第三军医大学)
2. 进食方式:碳水化合物为主—碳水化合物在转换成能量的同时,所需要的氧气比脂肪要少得多,比如米粥、燕麦粥等 ,另外,大蒜、黑豆、酸梅、鱼、醋等食材有助于降低血液粘稠度,降低冻伤、血栓的几率。
3、补水方式: 高海拔环境会让人感觉不到口渴,所以你必须有意识多饮水。有建议每天补充4升水,至少保证尿液清澈且大量。
4、呼吸方式:有意识腹式呼吸——腹式呼吸强调深沉、缓慢,是肚子起伏而非胸部起伏。长吐气会把肺里的旧空气尽可能排出来,再大口呼吸新鲜空气,肺中氧分压增大,有助于血氧饱和度上升。
5. 药物预防
缓解高山反应——多种资料显示,中药红景天:需提前1-2周服用,银杏叶也有减轻急性高原反应的严重程度,或者降低发病率的作用,这或与其抗氧化作用有关:从1800m--5200m上升10天期间,服用银杏叶片80mg,每天2次的人没有一个发生AMS,登山之前服用银杏片120mg,每天2次,连续5天,从1400m--4300m上升期间,可降低AMS的发病率和严重程度。(来源:高原医学杂志《急性高山病及高原脑水肿研究进展》)
乙酰唑胺能加速肾脏对碳酸盐的排泄,提高血液酸性,从而使得呼吸更顺畅,睡眠时尤其明显。这一效应能够提高适应速度,缓解高山反应。(来源:《登山手册》
缓解头痛——头痛是高反的主要症状,服用阿司匹林、乙酰氨基酚或布洛芬可缓解头痛,但并不能助于缓解高反。
吸氧缓解头痛、有助睡眠——对于头痛难忍的高反患者,吸氧可以快速缓解。如果担心夜间睡眠时高反恶化,那吸氧也可以睡眠时优先。给氧(每分钟0.5~1.5升,通过鼻插管或简单的开口型面罩)是有效的治疗头痛的方法。(来源:《户外医学》第5版 【美】保罗·S.奥尔巴赫)
6. 其他准备
备好便携式氧气瓶;准备防晒霜、墨镜、帽子等防晒用品;携带体温计、血氧仪等简易监测设备。
四、高原病应急处理
1. 急性高原反应
立即停止活动,充分休息;吸氧(2-4L/min);口服布洛芬或对乙酰氨基酚缓解头痛;症状不缓解或加重应及时就诊或下撤。
2.高原脑水肿/肺水肿,这是两个可以快速“杀人”的病。持续吸氧(4-8L/min)立即就近至阿坝州各主要景区医疗点,出现严重高原病症状时,请立即联系全州统一急救电话:120。
五、特殊人群注意事项
1.老年人:建议行前全面体检、避免单独出行、准备常用慢性病药物。
2.儿童:3岁以下婴幼儿不建议前往3000米以上地区;注意观察孩子精神状态;准备儿童专用药物。
3.慢性病患者:严重心肺疾病患者不宜进入高原;高血压患者需调整用药剂量;糖尿病患者注意监测血糖。
高原旅行是一次难忘的体验,做好充分准备和科学防护,您就能尽情享受阿坝州的神奇与壮美。祝您旅途平安愉快!


