近日,阿坝州人民医院口腔科团队凭借先进的椅旁高端设备与成熟的微创种植技术,成功为一名牙槽骨严重萎缩、骨量严重不足的患者完成高难度种植手术,一次性精准植入4颗种植牙。这标志着该科室在解决“无种植条件”难题上取得了重大突破,实现了种植骨条件从无到有的跨越,让高原缺牙患者在家门口即可享受高水平的种植修复服务。
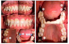
图1 种植术前术后口内照片
该患者因上颌多颗后牙缺失数年,伴随牙槽骨严重吸收、上颌窦底骨量严重不足,同时口内存在残根、阻生智齿,曾被判定为常规种植方案无法实施,种植难度极高。为最大限度减少患者创伤与往返就诊负担,阿坝州人民医院口腔科团队术前通过口腔CBCT完成全维度解剖结构评估,精准测算骨量数据,量身定制了“一站式”微创种植方案。

|
|
图2 术前术后CBCT影像
手术中,团队全程采用微创操作,在同一次手术中同步完成2颗患牙即刻拔除+即刻种植、2颗下颌阻生智齿拔除。尤为关键的是,团队成功应用了三大核心技术:

|
|
图3 种植手术过程
|
|
1.自体生物材料(CGF/PRF)——植骨缺损修复的“再生引擎”:通过椅旁专用离心机,抽取患者少量静脉血,快速制备富含高浓度生长因子的自体黏性骨块。该材料全程无需添加外来试剂,安全无排斥,可与植骨材料完美结合。它不仅稳定植骨材料、减少流失,更能持续释放生长因子,有效促进骨组织再生与创口愈合,显著提升植骨成功率和骨愈合速度,同时减轻术后反应。
2.超声骨刀——上颌窦外提升的“精准微创利器”:针对上颌后牙区骨量不足的核心难题,团队采用超声骨刀进行上颌窦外提升术。其高频超声振动原理仅对硬组织产生特异性切割,精准避开血管、神经及上颌窦黏膜等软组织,从根源上降低了黏膜穿孔风险。该技术振动小、出血少,术野清晰,实现了骨组织的微创精准处理,为高难度上颌窦提升植骨手术提供了安全保障。

3.即拔即种——一站式高效方案:团队熟练应用即刻种植技术,在拔除患牙的同时,立即在新鲜拔牙窝内植入种植体。相较于传统需等待数月的方案,该技术最大程度保留了牙槽骨,避免了生理性吸收,能更好地匹配牙龈美学形态,并大幅减少手术次数,缩短整体治疗周期。

得益于上述核心技术的综合应用,手术全程术野清晰,未出现上颌窦黏膜穿孔等并发症,4颗种植体均达到理想的初期稳定性。相较于传统方案需3-4次手术、近半年的治疗周期,本次一站式手术不仅突破了患者“无种植条件”的限制,更极大降低了手术创伤,术后患者反应轻微,恢复情况良好,真正实现了微创、高效、安全的种植修复。


