近日,阿坝州人民医院骨科成功完成我州首例“3D打印个性化定制导板辅助全膝关节置换术”,为一名饱受晚期大骨节病折磨、膝关节严重畸形的患者解除了病痛。此项技术的成功应用,标志着阿坝州在复杂骨关节疾病外科治疗领域迈入精准化、个性化“定制”新时代。
大骨节病:地方病困扰亟待解决
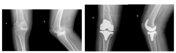
大骨节病是一种主要侵犯骨骼发育期青少年关节软骨和骨骺的地方性、变形性骨关节病(又称Kashin-Beck病),可导致关节畸形、肢体短缩及严重残疾。晚期患者膝关节常严重受损,表现为软骨磨损殆尽、骨质增生、关节间隙消失及“O”型或“X”形腿畸形,行走时疼痛剧烈。

作为大骨节病高发区,阿坝州最新统计数据显示,全州现存活大骨节病患者总数超过两万人,其中三度(重度)患者占比显著,患者广泛分布于全州13个县,尤以壤塘县、阿坝县、马尔康市、红原县、若尔盖县较为集中。患者年龄跨度大,从青少年到高龄老人均有涉及。
“骨病清零”行动下的技术突破
为巩固大骨节病防治成果,衔接乡村振兴,落实“石榴籽”工程做深做实健康保障行动,阿坝州于2025年启动了针对大骨节病髋膝骨关节病患者的“骨病清零”精准救治行动。该行动为符合条件的患者提供免费手术治疗,项目申请截止日期为今年5月31日。
传统全膝关节置换术虽是晚期关节病变的有效手段,但对于解剖结构严重变异的大骨节病患者却存在局限。常规手术器械往往难以匹配异常骨骼,术中需反复调整截骨,导致手术时间长、出血多、术后功能恢复受限,如同“削足适履”。
3D打印:开启“量体裁衣”式精准治疗
本次手术的核心创新在于深度应用3D打印技术实现“个性化定制”。术前,医疗团队为患者进行高精度CT扫描,利用三维重建软件精确构建畸形膝关节的数字化模型。结合选定的膝关节假体参数,骨科医生与工程师共同设计并3D打印出完全贴合患者骨骼形态的个性化手术导板(Patient-Specific Instrumentation, PSI)。该导板在术中如同精准的“导航仪”,直接指导医生完成角度、深度和厚度均预先设定的截骨操作。
“过去主要依赖医生经验和术中测量,存在一定误差。现在通过3D打印导板,所有参数术前已精确规划,术中只需按导板预设的导向槽操作,截骨精度可控制在0.5毫米以内,显著提升了手术的精准度和效率。”阿坝州人民医院骨科吴主任介绍道。

精准施术,效果立显
手术当日,在麻醉科、手术室团队的通力协作下,主刀医生顺利暴露患者严重畸形的膝关节。令人赞叹的是,3D打印的个性化截骨导板与患者骨骼表面实现了完美贴合。医生依据导板精准完成截骨,术前选定的关节假体被顺利植入,关节力线、屈伸间隙及软组织平衡均达到理想状态。
整台手术出血量不足200毫升,较传统方式减少近半。术后第二天,患者即在康复师指导下尝试下床站立,恢复进程顺利。患者激动地表示:“走了几十年的‘歪路’,终于能挺直腿了!”

技术惠及更广人群
此次3D打印个性化导板辅助全膝关节置换术的成功,不仅为复杂膝关节畸形患者提供了全新的治疗选择,也充分展现了数字骨科与增材制造技术在临床实践中的巨大潜力。
随着国内3D打印技术及医用材料的日益成熟,个性化导板的成本正逐步降低。专家期待其未来能纳入更广泛的医保支付范畴,惠及更多边远地区的大骨节病患者。
从经验主导到数据驱动,从“削足适履”到“量体裁衣”,3D打印技术正不断拓展骨关节外科的精准边界。对于长期受困于大骨节病痛的患者而言,这项创新技术带来的不仅是关节功能的恢复,更是重新站立、自由行走的希望与尊严。作为川甘青结合部区域医疗高峰,阿坝州人民医院将继续致力于推动此类精准医疗技术的应用,期待其早日惠及更多基层医疗机构,让每一位关节病患者都能获得“量身定制”的优质治疗。


